Desde 2018, la vida de Isaías Valdez se convirtió en una pesadilla. Él tiene 34 años y vive en Luis Guillón con su esposa y sus dos hijos, de 5 y 7. En aquel entonces era policía, pero fue dado de baja tras reiteradas licencias por fuertes dolores de cabeza. Ni él ni su familia esperaban todo lo que iban a tener que atravesar después.
Un vecino de Luis Guillón lucha contra enorme tumor: su historia y el llamado a la solidaridad
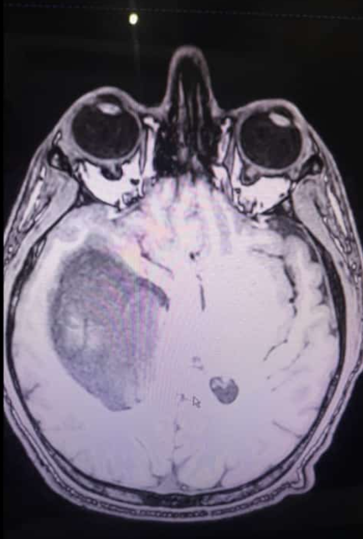
Isaías tiene 34 años. Descubrieron que tenía un tumor de 12 centímetros y le dijeron que le quedaba poco tiempo de vida. "Es un milagro en pie", aseguran.
"Es un milagro en pie", aseguró en diálogo con El Diario Sur Silvina Climenti (43) haciendo referencia a Isaías, su pareja. Según contó, en enero de 2021 descubrieron que desde hacía seis años él tenía un tumor en su cabeza. "El tumor era más grande que una naranja y él había sido diagnosticado como terminal. Los médicos nos dijeron que disfrutáramos del tiempo que le quedaba", contó.
Sin embargo, todo cambió cuando conocieron al doctor Estramiana, del Hospital Posadas: "Fue el único que nos dio una chispa de esperanza. Operó a Isaías de urgencia, y él salió caminando".
"El doctor le dijo que ya no había tumor, pero a los dos años, en el último control, se vio en las imágenes que había aparecido un nuevo tumor que creció 12 centímetros en seis meses", recordó Silvina. Y continuó: "Este era un tumor más grande, más agresivo y con una ubicación que hacía imposible su operación, excepto en una clínica en Latinoamérica que contaba con aparatos de alta precisión".
Silvina aseguró que esta noticia fue "devastadora" para ella y su familia: "Faltaba conseguir el dinero para acceder a la operación, miles de dólares con los que nosotros no contábamos". Luego de hablar con familiares y amigos, decidieron organizar una colecta para ayudar a Isaías.
"Fue todo muy estresante, pero también lleno de amor. Logramos llevar el dinero unas horas antes de comenzar la operación, la mitad con las donaciones y la otra mitad con un préstamo en dólares que todavía debemos", contó. Isaías salió de la intervención con vida, aunque perdió sensibilidad del lado izquierdo de su cuerpo. También sufrió la perdida parcial de la visión.
A pesar de esto último, Silvina aseguró que el momento en que lo vieron salir fue de "una alegría inmensa". Con el pasar del tiempo, otros resultados del control mostraron que el tumor aún seguía en su cerebro, pero por su ubicación, esta vez es inoperable.
"Hace unos meses terminamos 30 sesiones de radioterapia y ahora vamos por la segunda quimioterapia de seis. En febrero, su expectativa de vida era de dos meses, pero actualmente es de ocho. En términos médicos, nuestra fe está expectante a un milagro de Dios ya que ninguno de los tratamientos nos asegura una solución certera", remarcó la pareja de Isaías.
En ese sentido, Silvina explicó que tanto la operación como los tratamientos consumieron sus ahorros y a eso se suma la deuda que tienen por el préstamo que solicitaron para la intervención. "Necesitamos cubrir los gastos de traslado y medicación, los cuales son muy difíciles de afrontar", expresó.
Actualmente, la familia de Isaías continúa recibieron ayuda. Aquellos que quieran colaborar, pueden hacerlo a través del alias TODOS.CON.ISAIAS.
Leé también: FeFIJEE: las categorías 2010 y 2011 de La Morita gritaron campeón



