Una supuesta mala praxis odontológica condujo a que María Valenzuela se encuentre en un delicado estado de salud. Las redes sociales se sacudieron luego de que la actriz confesara, mediante un video publicado en su cuenta de Instagram, que sufre dolores crónicos después de que se colocara un implante en 2019, los cuales no le permiten alimentarse correctamente: está pesando 35 kilos.
Fallas en implantes odontológicos: el mal poco probable que afectó a María Valenzuela
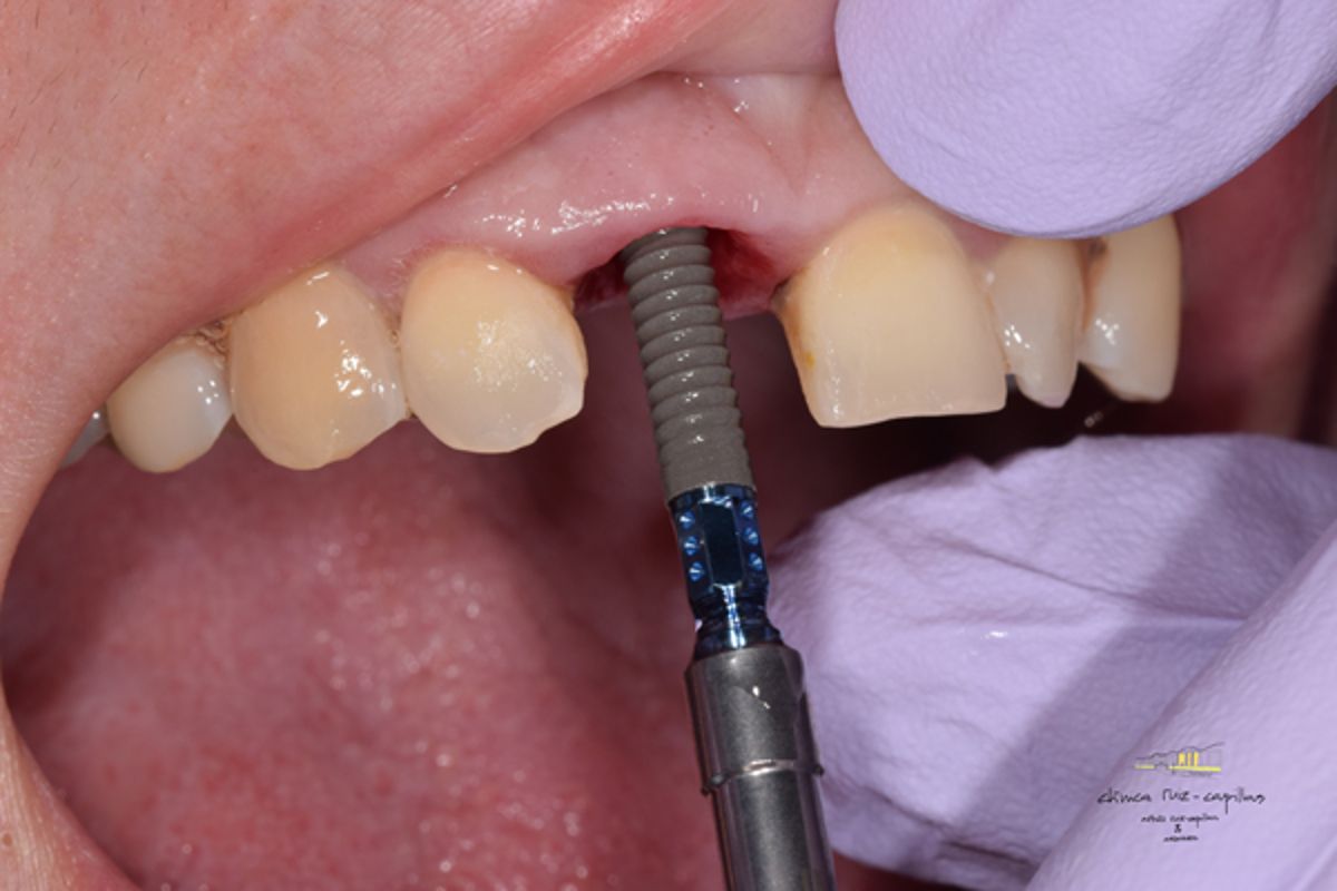
La actriz argentina compartió un video en sus redes sociales contando que una mala praxis producto de un implante le condujo a dejar de comer y pesar 35 kilos.
“Hace tres años inicié un tratamiento con un odontólogo para colocarme implantes. Con el tiempo, me surgió un dolor tan grande que no me permite comer. El odontólogo se llama Manuel, por razones legales no puedo decir su apellido”, comenzó el descargo de la actriz. Que cerró: “Estoy pesando 35 kilos y en estos tres años ya me internaron varias veces. Manuel, te suplico que des el nombre de tu aseguradora y este infierno se termina. Manuel, yo no me puedo morir ahora porque todavía me quedan cosas que hacer en este planeta. Manuel, te suplico que tengas piedad de mí”.
La confesión que sacudió a todo el ambiente artístico abrió el debate sobre qué tan posible es que sucedan fallas en los implantes. Consultada por El Diario Sur, la odontóloga Camila Herrera sugirió que “las posibilidades de que se produzcan una falla en los implantes son realmente bajas. Según la estadística, las probabilidades de que ocurra algo así es de entre un 2 y 5%”.
Ante la poca probabilidad de que ocurra, la especialista de Monte Grande estimó qué fue lo que podría haberle sucedido a la reconocida actriz: “La principal falla en los implantes en la falta de oseointegración. Esto es, la unión del implante con el hueso. La causa de la oseointegración puede ser por diversos factores. Uno es el que María Valenzuela contó: las coronas que le pusieron eran no anatómicas”.
En la búsqueda por encontrar la causa de su problema, todavía no detectado, el odontólogo Daniel Szapiro también coincide con Herrera. Consultado por Infobae, el experto señaló que “los implantes no lograron la unión con el hueso, por lo cual se produce una periimplantitis, es decir que los implantes se mueven dentro del maxilar”. En palabras de Szapiro, una de las razones es que hayan fracasado los implantes, por lo cual se “deben remover y colocar otros. O, en todo caso, buscar otra clase de prótesis para resolver el caso”.
¿Fue solo una mala praxis odontológica?
Los expertos en la materia todavía no lograron detectar cuál fue puntualmente el problema de la actriz argentina. “El caso de María Valenzuela es extraño. Dijo que había estado 3 años con dolor en los dientes. Es mucho tiempo con dolor como para que una persona no vuelva a consultar con su odontólogo”, comentó la odontóloga Camila Herrera a El Diario Sur. Y sumó: “Tampoco es normal, más allá de que haya fallado o no el implante, que una persona llegue a pesar 35 kilos. La pérdida de peso puede ser consecuencia de un trastorno en la conducta alimenticia”.
En ese mismo aspecto coincidió el propio odontólogo Marcelo Carta, quien atenderá a María Valenzuela próximamente. El doctor radicado en Ushuaia aseguró que buscará proponerle “algo interdisciplinario” dado que el problema de la actriz no parece ser de una sola pata. “Yo solo manejo lo odontológico, pero ante una delgadez extrema siempre hay que tratar multifactorialmente. Mi propuesta será que, amén de lo mío, pueda charlar con un clínico, un nutricionista, una psicoterapeuta. No se puede escindir lo odontológico de lo médico”, dijo Carta días atrás.
Cómo proceder ante una falla
A pesar de que las probabilidades de que exista una falla son bajas, los expertos reconocen que puede ocurrir. “En el caso de que el paciente perciba dolor y dude de alguna falla en el implante, se deben realizar controles y radiografías periapicales o panorámicas”, aconsejó la odontóloga Camila Herrera a El Diario Sur. Y detalló cómo son los pasos a seguir después de eso: “Si a través de ese diagnóstico por imágenes se demuestra que fracasó el implante, se retiran los implantes y se espera a que se regenere el hueso entre 45 y 90 días. Durante ese lapso, el paciente permanecerá con una prótesis removible. Después de que haya esperado el tiempo que odontólogo considere, se inicia un nuevo tratamiento”.

